致命鱼刺紧贴肺动脉 消化内科勇担风险攻克异物取出难题

      近日,南方医院消化内科医疗团队成功完成一例高难度食管异物取出术,将一枚紧邻肺动脉、随时可能引发致命大出血的鱼刺安全取出,使患者转危为安,展现了南方医院消化内科在高危消化道异物救治领域的精湛技术与责任担当。
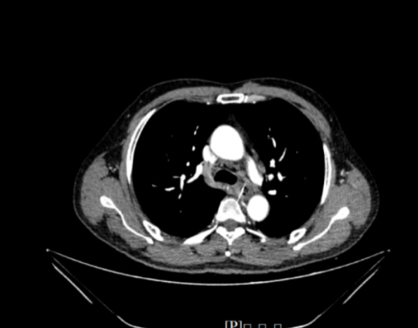
       日前,患者彭先生晚餐时不慎被鱼刺卡住喉咙,随即出现胸口剧痛、呼吸困难。家人带其辗转多家医院,影像检查显示鱼刺位置极为凶险——已紧贴人体粗大的肺动脉,属于临床罕见的高危情况。因手术风险极高,稍有不慎可能导致动脉破裂,患者将出现生命危险,多家医院均表示难以处理。

       生命垂危之际,彭先生被紧急转运至南方医院,消化内科接诊后立即启动应急预案,巩兰波教授、赵芯梅教授、韩泽民医生医疗组连夜集结,为患者进行全方位评估。精准影像显示,鱼刺与肺动脉之间仅有毫厘之隔,取出过程犹如“在万丈悬崖边行走”。

       “患者的生命安全永远是第一位的!”面对极高风险,医疗团队没有退缩,迅速制定周密手术方案,从内镜器械选择、术中监测到应急准备,每个环节都经过反复推演。手术当天,在医护团队紧密配合下,梁尔博医生凭借丰富经验,在高清胃镜引导下稳健操作,于狭窄食管内精准定位,成功取出这枚让多家医院望而却步的“致命鱼刺”。术后彭先生迅速恢复,疼痛与呼吸困难症状消失,不久痊愈出院。

       为表达感激之情,彭先生特意通过12345政务服务便民热线发来表扬信,称赞南方医院消化科团队拥有“高超医术与仁心担当”,是“生命的守护者”。

       在此也提醒广大市民,进食鱼类等带骨食物时务必细嚼慢咽,若发生异物卡喉,切勿盲目吞咽米饭、馒头,也不可用手或工具随意抠挖,应及时前往正规医院就诊,避免因不当处理导致异物移位、加重危险。